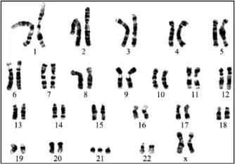
(UFN) Observe o esquema do cariótipo de um indivíduo.
11. (UFN) Observe o esquema do cariótipo de um indivíduo.

Pode-se afirmar que esse indivíduo apresenta
- Síndrome de Edwards.
- Síndrome de Turner.
- Síndrome de Down.
- Síndrome de Klinefelter.
- Síndrome de Patau.
Resposta: C
Resolução: O cariótipo apresentado (com 47 cromossomos e uma trissomia do cromossomo 21) é indicativo da síndrome de Down.